Plantar Wart Ultrasound. If your plantar wart is located on a pressure point you. Results should be evident six weeks after the final session.

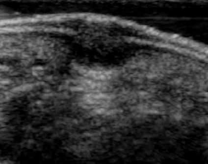
This destroys the tissue and causes a small blister to form over the spot. The following report covers our observation of 25 patients treated with ultrasound therapy. These ultrasonic findings are typical of a plantar wart and should not be confused with the inflammatory changes associated with a foreign body.
If at all possible make sure you refrain from trying to remove your wart.
What is the best method in the use of ultrasound for treatment of plantar warts. Foot ultrasound of plantar fibromatosis plantar plate tear rupture mortons neuroma mulders click metatarsalgia effusion foreign body GooGhywoiu9839t543j0s7543uw1. Ultrasound can provide detailed anatomical data on warts and their inflammatory changes in the surrounding tissues. These ultrasonic findings are typical of a plantar wart and should not be confused with the inflammatory changes associated with a foreign body.
